I have never been more frightened of pregnancy ! ! !
1.Check out this X-ray of a gymnast doing a move most of us could only dream of. It’s pretty wild what the body can do.
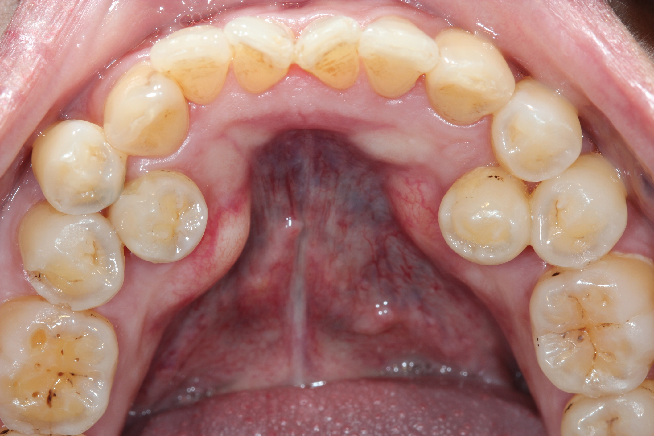
2.I’m sorry to show you this, but this is what’s done to teeth to prep them for veneers.
3.Did you know that some societies use ants to suture wounds? You basicallybringan ant close to bite both sides of the wound, then remove its body, leaving the head. This ancient practice is pretty darn effective.
4.A newer practice? Using fish skin in healing. Tilapia skinissimilar enough to human skin – and high enough in collagen – that it can be used to treat burn wounds.
5.Did you know that a severed hand can be saved by sewing it to another body part? That’s what doctors did with Chinese patient Xie Wei. Doctors were unable to immediately reattach his hand (which had been severed in a work accident) to his arm, so they temporarily attached it to his leg to use the blood supply of the arteries there.
6.Here’s another photo. And don’t worry — the hand was later reattached to Wei’s arm!
7.Modern medicine has come so far and has made doctors' and nurses' jobs so much easier. Check out this Vein Viewer device that can show where your veins are.
8.Another medical advancement? This manhada device implanted into his chest that functioned as his heart, which allowed him to live for five weeks after receiving it, rather than dying immediately. With the device, he had no heartbeat.
9.Did you know meds can turn your pee green?
10.Your peecanalso turn purple, usually in rare cases of UTIs and long-term catheter use.
11.Pregnancy changes your body, too. Sometimes in strange and unexpected ways.
12.It can even change your hair color.
13.I’m sure you’ve heard that people’s feet swell during pregnancy, but I doubt you’ve understood quite how much they swell.
14.Here’s how your body changes during pregnancy.
15.TIL about chromhidrosis, where you sweat colors instead of clear. This person sweats red!
16.Toxic Shock Syndromecancause your skin to peel pretty badly, especially on your feet and hands. Watch out for this and sunburn-like rashes with no apparent cause! You should also know that you can get TSS even if you don’t use tampons!
17.Just like your skin can peel after a sunburn, your tongue can peel after a burn.
18.Let’s move onto teeth. Most of your teethhaveone or two roots, but some molars have three…or even more.
19.This one has FIVE roots.
20.Roots can alsofusetogether, looking something like this.
21.Some roots can be huge.
22.Or like with this wisdom tooth, bent…making them a real pain to extract.
23.Fun fact: when extracting wisdom teeth, sometimes a bit of the jaw comes with them as a bonus!
24.Oh, and tumorscan growon teeth.
25.Teeth can be in places where they really shouldn’t be.
26.And some people have multiple extra teeth in places they shouldn’t be.
27.Here’s what a nerve extracted from a tooth looks like.
28.Eating too many carrots, sweet potatoes, or other orange foods can actually turn your skin orange. It’s calledcarotenosis.
29.Sorry to break the news, but it is possible to grow a hair out of your eye. It can happen if you have a cyst on your eye, called aLimbal Dermoid.
30.Finger and toe abnormalities always fascinate me because there’s just such a range in them. Here’s an example of one.
31.Here’s another.
32.And another.
33.Since thumbs are so essential, if someone is born without one, one of their other fingers will usually be amputated and turned into a thumb.
34.This one is caused byCharcot-Marie-Tooth Disease, which causes nerve damage primarily in the arms and legs. Many people with CMT have hammertoes or high arches in their feet.
35.Here’s what an x-ray looks like for someone with six fingers.
36.Eye abnormalities are also fascinating to me. This isCorectopia, which encompasses eyes that do not have their pupil in the center.
37.This person’s eye abnormality is caused by multiple episodes ofuveitis,creatingiris adhesions.
38.Increasing my fear? Eye surgery can go pretty wrong.
39.Unfortunately, it is possible to get a tumor behind your eye.
40.Beware ofscratching your cornea— this is what it looks like close up. It may look small, but it can get an infection. You should definitely see your eye doctor!
41.Getting bitten by a brown recluse spider is no joke…and it gets worse as time goes on.
42.This person has what’s calledTree Man syndrome. Unfortunately, it can get even worse than this, and though growths can be removed, they often recur.
43.Another condition that causes growths on the body isneurofibromatosis. These growths are usually benign, but can become cancerous, and there are other symptoms.
44.This (left) is what your blood might look like if it contains high triglyceride (fat) content.
45.Here is what someone’s urine looks like after 25 years of having a UTI. :(
46.Nerve damage can have strange effects on your body. Like with this person — their finger with nerve damage doesn’t prune.
47.Here’s how different the two forearms of a professional tennis player look — this player primarily uses their right arm.
48.Did you know that when you have an infection, the temperature of your body rises in that area?
49.You can even see it with thermal nail polish.
50.Here’s what Acrodermatitis Continua — a type of psoriasis — looks like.
52.Usually,hemangiomas(blood vessel growths) are red and appear in children, then fade as they grow up. This person’s remained.
53.This is whatPectus Excavatumlooks like. Essentially, your breastbone is sunken. It can affect the heart and lungs, especially as the body grows in teenage years.
54.Finally, let’s move on to brains. Here’s what brain cells making memories look like.
55.Did you know that spinal fluidwashesover our brain while we sleep? This helps clean out toxic proteins and keeps your memory sharp. Unfortunately, it slows as we age.
56.Here’s what the inside of a skull looks like during brain surgery. In this case, the surgery was to remove a pea-sized non-cancerous tumor that was causing seizures.
57.Finally, here’s what someone looks like after brain surgery — TBH, it’s pretty metal.























































